Vision Gram® анализ мазка по Граму
Арт. 5000
Характеристики
Страна происхождения
—
Австрия
Автоматизация анализа мазка по Граму
Цена по запросу
Модуль для клинического применения Vision Gram
-
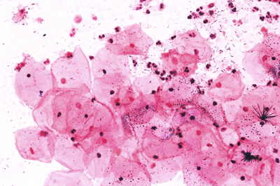
Автоматический анализ препаратов с окраской по Граму.
-
Локализация: Cervical, Vaginal, Urethral.
-
Автоматическое сканирование и создание цифрового препарата.
Автоматическая оценка морфологии и количества грамположительных и грамотрицательных микроорганизмов:
-
Лактоморфотипы
-
Gardnerella vaginalis
-
Грамположительные и грамотрицательные кокки, расположенные вне- и внутриклеточно, парами, группами, цепочками
-
Грамотрицательные палочки
-
Морфотипы строгих анаэробных бактерий (Peptostreptococcus, Bacteroides, Fusobacteriales, Prevotella, Mobiluncus)
-
Neisseria gonorrhoeae
Дополнительный модуль
-
Vision Gram Extended
Автоматическая идентификация:
Эпителиальные клетки (поверхностный, промежуточный, парабазальный, цилиндрический эпителий)
-
Лейкоциты
-
Ключевые клетки
-
Слизь и клеточный детрит
-
Trichomonas vaginalis
-
Candida spp.
Искусственный интеллект
Искусственный интеллект (ИИ) — вид алгоритмов/технологий, благодаря которым компьютеры способны учиться и решать интеллектуальные задачи, которые перед ними ставит человек. ИИ ускоряет процесс обработки и интерпретации данных, помогая эффективно выполнять сложные задачи, в том числе и такие, как анализ медицинских изображений.
Vision Manager
Автоматизация проведения анализа, правила обработки данных.
Vision Remote
Удаленное рабочее место.
Модуль для консультации и обучения Vision Suite
Облачная/серверная платформа для телемедицины и консультации с коллегами.
Клиническое применение
Последние разработки в области искусственного интеллекта решают задачи автоматизации цифровой микроскопии. Наши технологии улучшают диагностический процесс, сокращают время анализа, снижают субъективность полученных результатов. Благодаря им, повышается эффективность работы лаборатории и клинические микроскопические исследования переводятся на современные стандарты.
Vision Ultimate Cell Imaging Analyzer
Модуль для клинического применения |
Vision Gram |
Дополнительный модуль |
Vision Gram Extended |
Режим работы: |
Очередь, непрерывный и произвольный доступ, срочная проба, 24/7 |
Сканирование |
Автоматическое сканирование |
Количество слайдов |
До 200 слайдов |
Подача слайдов |
Автоматическая подача слайдов |
Микроскоп |
Сканирующий микроскоп |
Оборудование |
Персональный компьютер, монитор, управляющий тач-монитор |
Идентификация слайдов |
Встроенный считыватель штрих-кодов |
Подача масла |
Автоматический податчик иммерсионного масла |
Объективы |
2.5x, 10x, 63x МИ |
Метод исследования |
Светлое поле |
Освещение |
По Келлеру, LED |
Интерфейс |
Двунаправленное подключение к ЛИС, LIS2-A2 (ASTM), HL7 |




