Vision Hema® Integro Интегрированное решение для общего анализа крови
Интегрированное решение для общего анализа крови
-
Vision Hema® Integro
Интегрированное решение для общего анализа крови
— Полуавтоматическая или автоматическая система Vision Hema® (по выбору)
— Гематологический анализатор Abacus (по выбору)
— Стартовый набор реагентов -
Информация для заказа
Система Vision Hema® Integro
Комплект включает: полуавтоматическая или автоматическая система Vision Hema® (по выбору), гематологический анализатор Abacus (по выбору), стартовый набор реагентов -
Интегрированное решение для общего анализа крови
-

- • Объединенные результаты гематологического анализатора и морфологии клеток крови
- • Скрининг выполняется на гематологическом анализаторе Abacus. Результаты анализа автоматически передаются в систему
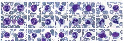
- • Автоматическая микроскопия клеток крови. Цифровые изображения клеток крови автоматически передаются в систему, после чего идентифицируются и преклассифицируются
- • Единый отчет — полная картина общего анализа крови
Расширьте возможности вашей лаборатории, используя гематологическую систему Vision Hema® Integro
Автоматическая передача данных
Результаты анализа автоматически передаются с гематологического анализатора Abacus в систему.
Результаты выходящие за референсные границы отмечаются флагами.

Скрининг
Исследование выполняется на гематологическом анализаторе Abacus.
Автоматическая микроскопия клеток крови

Цифровые изображения клеток крови автоматически передаются в систему, после чего идентифицируются, преклассифицируются и добавляются к результатам анализа с гематологического анализатора, что и формирует финальную картину общего анализа крови.

Система Vision Hema® Integro позволяет использовать настраиваемые бланки отчетов.
Совместимость со всеми гематологическими анализаторами Abacus
