Vision Sperm® Компьютерный анализ спермы
Арт. 5002
Характеристики
Страна происхождения
—
Австрия
Компьютерный анализ спермы (CASA)
Цена по запросу
Подробнее
Комплектации
Аппликационный модуль Vision Sperm
Автоматический анализ спермы в соответствии с требованиями ВОЗ. Телемедицина и удаленные консультации с коллегами.
MOT. Подвижность/концентрация
Анализ подвижности и определение концентрации. Подвижность — траектория сперматозоидов в поле зрения за заданное время. Концентрация — общее количество сперматозоидов с учетом толщины образца и разведения.
MRF. Морфология
Идентификация и пре-классификация сперматозоидов для анализа морфологии.
Типы дефектов:
-
Головки;
-
Шейки;
-
Жгутика;
VIT. Жизнеспособность
Пре-классификация жизнеспособности сперматозоидов, расчет процентного соотношения «живых» и «мертвых».
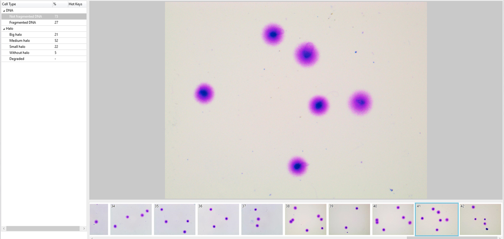
DNA. Фрагментация ДНК
Пре-классификация по степени фрагментации ДНК. Определяет соотношение фрагментированных сперматозоидов относительно здоровых.
Искусственный интеллект
Искусственный интеллект (ИИ) — вид алгоритмов/технологий, благодаря которым компьютеры способны учиться и решать интеллектуальные задачи, которые перед ними ставит человек. ИИ ускоряет процесс обработки и интерпретации данных, помогая эффективно выполнять сложные задачи, в том числе и такие, как анализ медицинских изображений.
Клиническое применение
Последние разработки в области искусственного интеллекта решают задачи автоматизации цифровой микроскопии. Наши технологии улучшают диагностический процесс, сокращают время анализа, снижают субъективность полученных результатов. Благодаря им, повышается эффективность работы лаборатории и клинические микроскопические исследования переводятся на современные стандарты.
|
|
|
Vision Basic
|
Vision Assist
|
Аппликационный модуль
|
Аппликационный модуль
|
Ручное сканирование |
Автоматическое сканирование |
1 слайд |
1 слайд |
Ручная подача через замену слайда |
Ручная подача через замену слайда |
Ручная подача масла |
Ручная подача масла |
Ручная идентификация слайдов |
Ручная идентификация слайдов |
Микроскоп |
Сканирующий микроскоп |
Персональный компьютер |
Персональный компьютер |
Монитор |
Монитор |
Объективы:
|
Объективы:
|
Светлое поле, фазовый контраст |
Светлое поле, фазовый контраст |
Освещение по Келлеру, LED |
Освещение по Келлеру, LED |
Двунаправленное подключение к ЛИС, LIS2-A2 (ASTM), HL7 |
Двунаправленное подключение к ЛИС, LIS2-A2 (ASTM), HL7 |





