Vision Uri® Integro Интегрированное решение для анализа мочи
Биохимический анализ и микроскопия осадка мочи в одной системе
Vision Uri® Integro
Биохимический анализ и микроскопия осадка мочи
— Система микроскопии осадка мочи Vision Uri® Basic
— Анализатор мочи 77 Elektronika (по выбору)

Vision Uri® Integro Биохимический анализ и микроскопия осадка мочи в одной системе
Современный подход к постановке диагноза, объединяющий аналитические данные и цифровую микроскопию
База данных пациентов
Все данные пациентов представлены в виде таблиц, которые можно настроить самостоятельно.
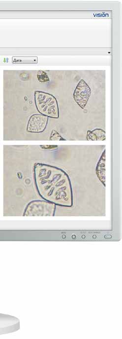
Цифровой препарат
Получение цифрового препарата, используя микроскоп и цифровую камеру Vision.
Оставляйте свои комментарии прямо на изображении цифрового препарата.

Биохимический анализ мочи
Результаты с анализатора мочи автоматически передаются на ПК и интегрируются в общий отчет исследования мочи.
1. Лаборант выполняет биохимический анализ мочи с использованием тест-полосок.

2. Лаборант формирует цифровые изображения препарата мочи.

3. Врач-лаборант выполняет оценку полученных данных и готовит отчет.

Отчет
Вы сами принимаете решение о том, каким будет ваш отчет. Вы можете учесть в бланке требования по форме и содержанию.

Микроскопия осадка мочи
Цифровые изображения осадка мочи добавляются к биохимическим результатам анализа и формируют картину анализа.
