Водно-абразивная система Aquacare
Водно-абразивная система AQUACARE - это новое поколение препарирующих инструментов, основанное на совместном использовании энергии абразивных частиц, находящихся в потоке воды.
Комплектации
Водно-абразивная система AQUACARE - это новое поколение препарирующих инструментов, основанное на совместном использовании энергии абразивных частиц, находящихся в потоке воды. В отличие от обычных ротационных режущих инструментов аппарат AQUACARE не вступает в непосредственный контакт с тканями зуба, устраняя риск сколов и трещин. Дополнительно к предыдущей усовершенствованной модели AQUACARE TWIN (двухкамерный) производитель выпустил аппарат AQUACARE (однокамерный).
Прибор AQUACARE TWIN многофункционален – две дозаторные камеры позволяют врачу быстро переключаться между двумя порошками (бикарбонатом соды и оксидом алюминия), а значит выполнять такие процедуры как снятие зубного налета и препарирование зубов, не меняя наконечника. 
Уникальная трехпозиционная педаль AQUACARE позволяет препарировать, промывать и сушить. Первым нажатием на педаль включается поток сухого чистого воздуха, вторым – поток воды, третье нажатие подключает поток абразивных частиц бикарбоната соды или оксида алюминия. 
Эргономичный наконечник который создает водяную завесу вокруг абразивного порошка, минимизируя образование сколов и трещин эмали, удобен и легок в обращении. Позволяет быстро освоить техники лечения. Эти автоклавируемые наконечники сделаны с учетом их быстрой и удобной смены даже во время работы. 
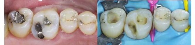
Этот аппарат предназначен для щадящего препарирования, раскрытия кариозных полостей и фиссур, удаления зубного налета, протравливания, восстановления композиционных пломб, лечения гиперчувствительности дентина, а также многого другого.

ПРЕИМУЩЕСТВА AQUACARE:
- AQUACARE формирует структуру полости, идеальную для лучшей адгезии, нет смазанного слоя.
- AQUACARE - непревзойденный инструмент для реставрации пломб, позволяющий делать больший объем работ в течение одного приема.

AQUACARE делает возможным быстрое реставрирование существующих пломб, которые начали разрушаться.- Боры и анестетики создают наиболее неприятные ощущения для Вашего пациента. С AQUACARE Вы существенно уменьшите их использование. В отличии от современных турбин при работе с AQUACARE нет прямого контакта наконечника с зубом, и как следствие этого нет вибрации, не образуется тепло, нет раздражающего пациента звука турбины и запаха.

- Мягкое действие AQUACARE во многих случаях исключает необходимость применения анестезии, что позволяет ни только сберечь ваше время, но и сделать посещение пациента более приятным. С его помощью вы без труда расширите стоматологический прием, оказывая помощь беременным и кормящим женщинам, детям и людям, страдающим фобией к стоматологии.

- AQUACARE - полностью пневматическая система, работающая от сжатого воздуха и не требующая подключения к сети. Возможность регулировки давления от 0 до 7 бар.
- AQUACARE TWIN с двумя резервуарами и с 3-х позиционной педалью управления позволяет сушить, промывать и препарировать без смены инструмента.


| Спецификация | |||
| Внешние источники | Чистый сухой сжатый воздух минимум 5 bar, максимум 7 bar. Соединительный шланг с компрессором 6мм диаметр. | ||
| Педаль управления | 3-х позиционная с возможностью препарирования, промывания и высушивания. Длинна кабеля 2 м. | ||
| Давление на выходе | Беспрепятственно варьируется от 0 - 7bar. | ||
| Среда для препарирования | 53 и 29 мкр оксид алюминия. Расход порошка варьируется от 0 до 6гр/мин. | ||
| Среда для полирования | Сода бикарбонат | ||
| Наконечники | Анодированный алюминий с раздельными каналами подачи порошка и воды. Контролируется педалью управления Наконечники разного размера имеют свой цвет: Серебряный – 0,6 мм (1 наконечник поставляется в комплекте с системой Auqacare) Зеленый - 0,4 мм (дополнительный) Золотой - 0,8 мм (1 наконечник поставляется в комплекте с системой Auqacare) |
||
| Габариты | |||
| Глубина | 240 мм | ||
| Высота | 165 мм | ||
| Ширина | 256 мм | ||
| Вес | 3.07 кг | ||
